今天,上海跃赛生物科技有限公司研发的癫痫细胞治疗药物UX-GIP001注射液获中国国家药监局药品审评中心批准,将进入临床试验阶段。前不久,这款创新药已获美国食品药品监管局(FDA)临床试验批准,成为全球首款进入临床的iPSC(诱导性多能干细胞)来源异体癫痫细胞治疗药物。这也是上海国投先导生物医药母基金在细胞治疗领域的首个直投项目。
凭借国际领先的干细胞定向分化技术,跃赛生物研发的帕金森病细胞治疗药物也已获得“中美双批”,目前在临床试验中显示出良好的安全性和积极疗效。这种新疗法突破了传统对症治疗的局限,向疾病修复型根治目标迈进。
基础研究奠定国际领先技术
诱导性多能干细胞是指通过导入特定的转录因子,将终末分化的体细胞重编程为多能干细胞,实现“返老还童”。它们在基因和蛋白表达、表观遗传修饰状态、倍增和分化能力等方面都与胚胎干细胞相似,但与胚胎干细胞治疗相比,不存在伦理争议,其来源细胞(如外周血细胞、皮肤细胞)更易获取,所以近年来已成为多能干细胞治疗产品研发的主要方向。
能否用诱导性多能干细胞治疗神经系统疾病?这是跃赛生物创始人、中国科学院脑科学与智能技术卓越创新中心高级研究员陈跃军研究的课题。经过多年基础研究,他带领团队研发出新的高通量单克隆谱系示踪技术、神经细胞高效分化新技术,在业内首次解析了神经分化过程的“黑匣子”。
“把终末分化的体细胞重编程为多能干细胞过程中,会产生大量没有治疗效果的非目的细胞。”陈跃军解释,“我们研发的高通量单克隆谱系示踪技术,能完整解析每个细胞的分化路径。在此基础上,就能开发新的分化和质控策略,减少非目的细胞。”

跃赛生物研发人员在实验室工作。
基础研究取得的突破,让跃赛生物拥有了国际领先技术。公司生产的细胞药物中,目的细胞比例比美国、日本企业开发的同类药物高得多,从而大幅降低了移植到患者脑内的细胞数量,使细胞治疗更安全,成药性也更好。
在癫痫患者脑内,抑制性GABA能中间神经元功能缺失,导致神经网络过度兴奋,是癫痫发作的核心病理。跃赛生物凭借特有的人多能干细胞创新技术平台,定向分化出抑制性神经祖细胞。将它们移植到患者脑内,有望重建局部抑制性神经环路,减少癫痫发作。
两大疾病临床试验令人期待
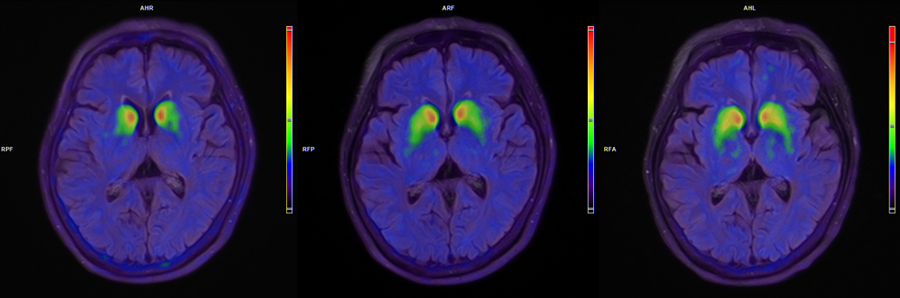
正在进行的临床试验,已显示出国产细胞药物令人期待的前景。2025国际帕金森和运动障碍协会年会上,跃赛生物研发的全球首款“中美双批”自体细胞治疗产品UX-DA001以“最新突破性研究”入选了大会口头报告。上海交大医学院附属瑞金医院在年会上发布了首例帕金森病患者治疗后6个月的随访数据:患者运动功能显著改善,MDS-UPDRS-Ⅲ评分在“关期”改善21分,在“开期”改善9分,改善比例均超过45%;每天“关期”时间平均减少3.6小时,无烦人异动症的“开期”时间增加3.3小时;医学影像显示,双侧壳核移植区的多巴胺转运体信号持续增强。

患者脑部术前、3个月、6个月的18F-FP-CIT PET图像
国产细胞药物治疗癫痫的前景,也值得期待。癫痫俗称“羊癫疯”,影响着全球约7000万人健康,中国患者约1000万。多达1/3的患者经药物治疗无效,发展为药物难治性癫痫,其中部分可经致痫灶切除术和电刺激神经治疗来控制,但有副作用。因此,开发一种可选择性针对癫痫病灶、保留相邻组织且不引发药物副作用的细胞疗法至关重要。跃赛生物CEO吴岚林表示,公司已为UX-GIP001治疗癫痫的临床试验做好准备,即将启动患者入组工作。
“与小分子药物不同,诱导性多能干细胞药物具有一次注射、长期有效的特点,它们定向分化成目的细胞后,理论上能在患者大脑中终身存活。”吴岚林说。
这种细胞疗法分为自体、异体两类技术,自体疗法的诱导性多能干细胞来自患者本人,异体疗法的诱导性多能干细胞来自健康个体。前者的优势,是细胞移植后患者不需要接受为期一年的抗排异免疫治疗;后者的优势是可批量化生产,使产品价格远低于自体疗法,未来产品获批上市后,有望实现医保覆盖。
创新生态和资本助企业成长
跃赛生物的“全球首款”成果,是上海近年来细胞和基因治疗产业快速发展的一个缩影。市科委介绍,在这一生物医药前沿赛道,上海着力打造张江细胞与基因产业园、浦江基因未来谷,已集聚200家以上企业,占我国细胞和基因治疗产业链企业的三分之一。
“十四五”以来,上海已有5款细胞和基因治疗产品获批上市,其中4款是CAR-T细胞治疗药物,占全国50%;另一款是血友病B基因治疗药物,为国内首创。150多个在研项目进入临床试验,全球首个基因治疗遗传性耳聋、异体通用型免疫细胞治疗自身免疫病等重磅成果问世。在免疫细胞、干细胞、病毒载体类、核酸类药物等研发领域,上海处于全国领先地位;在环状RNA、干细胞定向分化等领域,达到国际领先水平。
谈及上海生物医药产业的创新生态,陈跃军说,在这座城市可汇聚大量一流的生物医药科研和产业人才,在跃赛生物周边1—5公里内可找到各类CRO(医药合同研发组织),产业资源丰富完备。“我们公司在成长过程中,得到了市科委、浦东新区和外高桥相关部门大力支持,经常有专业人员上门,提供产品申报、人才政策等方面的指导。‘科创海关’等创新举措更是想企业之所想,解决了我们研发中的燃眉之急。”在政府支持下,跃赛生物已在外高桥保税区建成4000平方米研发中心和GMP洁净厂房。

跃赛生物生产细胞药物的GMP洁净厂房
在跃赛生物成长过程中,国有资本和社会资本也扮演了重要角色。上海国投先导生物医药母基金、浦东引领区产业发展基金已联合投资这家企业近亿元,上海外高桥私募投资基金也参与了A+轮融资。今年2月,跃赛生物宣布完成总额达3亿元的A轮和A+轮融资,除了国资基金,还引入了磐霖资本等风投机构以及来自天士力医药的产业资本。
国投先导负责人介绍,上海国投先导生物医药母基金将发挥国有资本的战略引领和“耐心资本”作用,陪伴跃赛生物等创新企业成长,协助企业在各个发展阶段拓展融资渠道,推动更多的沪研国产创新药早日惠及广大患者。
(文章来源:上观新闻)